- HOME>
- 頭部打撲・その他外傷
頭部の怪我について

事故や怪我などで頭部を強く打った際に注意が必要なのは、外傷(見た目)の程度と脳の損傷が“無関係”であることです。頭部からの出血が激しくても脳に損傷がないこともあれば、外表からの出血などがなくでも脳が大きなダメージを負っていることもあります。
頭を強く打った後に頭痛や嘔吐、めまい、四肢の違和感などの症状がみられる場合には、すぐに脳神経外科を受診してください。受傷直後に異常を感じなくても、その後時間が経ってから症状が現れることもありますので、受傷後2~3日の間は安静にして、注意深く経過を観察してください。
こんな症状はありませんか?
頭部への受傷後、以下の症状がみられたらすぐに脳神経外科を受診してください。特に高齢者の場合は症状が出るのに時間がかかる傾向にあるので、受傷後の経過観察にご注意ください。
- 頭痛・めまい
- ふらつき
- 嘔吐
- 痙攣
- 視覚障害(視界のぼやけ、物が二重三重に見える)
- 手足に力が入らない
- ぼーっとする、元気がない など
各部の損傷について
皮膚
頭部の怪我で多いのは皮下血腫、いわゆる「たんこぶ」です。怪我が軽度で、患部の痛み以外の症状がみられなければ、ほとんどの場合で自然治癒します。ただし、痛みが強い、大量の出血を伴う場合は医療機関を受診してください。
頭蓋骨
脳を守る頭蓋骨は高い強度を有していますが、それを超える力がかかると折れてしまいます。頭蓋骨骨折が起こるレベルの衝撃を受けた場合は、脳の損傷も懸念されます。地面のアスファルトなどの硬度高いものへの頭部打撲、1.5m以上の高さからの転落など、比較的高度のエネルギー外傷の場合は、すぐに脳神経外科のある医療機関を受診してください。
頭蓋内損傷
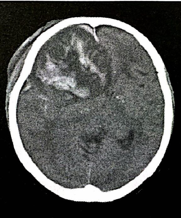
脳挫傷(Brain Contusion)

頭部への強い衝撃により、非可逆的に脳の挫滅が限局性、もしくは多発性に起きる状態です。挫傷の度合いにより脳内出血のようになります。症状としては、意識障害や強い頭痛、嘔吐・嘔気、痙攣などです。通常、検査は簡便で短時間で施行可能なCT検査が優先されますが、非出血性の脳挫傷や小さい脳挫傷に関しては、CT検査よりもMRI検査の方が発見率は高くなります。
脳挫傷は受傷から数時間徐々に増大する恐れがありますので、診断後は入院が必要になります。入院後は頻回の頭部画像検査にて挫傷の度合いを観察します。挫傷や出血量が多く、生命予後にかかわる場合は開頭による手術が必要になります。
びまん性軸索損傷(Diffuse Brain Injury: DBI)
頭部外傷後直後から意識障害が持続しているにも関わらず、頭部CT検査ではその状態を説明できるような頭蓋内占拠性病変が認められない頭部外傷をいいます。頭部MRI検査が有用です。MRIの撮像方法でFLAIRや拡散強調画像やT2*/SWIなどが診断に有効とされており、当院では頭部外傷の主訴の患者さんには、全例で施行しております。
DBIは急性硬膜下血腫と並んで、頭部外傷における致死率が最も高い病態です。
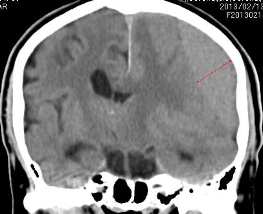
急性硬膜下血腫(Acute Subdural Hematoma)

脳の表面は硬膜という白色の厚い膜に覆われています。頭部外傷により硬膜の血管、架橋静脈や脳表の血管が損傷すると硬膜と脳表の隙間に血液が溜まります。硬膜側(外側)には頭蓋骨があるため、溜まった血液の圧力は、脳側(内側)に逃げるしかなくなります。すると脳は外側より圧迫され、逃げ場がなくなると脳ヘルニアという状態になり生命の危険に陥ります。その場合、緊急開頭手術が不可避となります。非常に予後不良な病態の1つです。
小児と高齢者の重傷頭部外傷においては最多であり、通常、受傷直後から重篤な意識障害を呈しますが、数分から数時間の意識清明期(意識状態がはっきりしている期間)の後、頭痛・嘔吐・意識障害を呈する恐れがあるため、注意が必要です。
急性硬膜外血腫(Acute Epidural Hematoma)
急性硬膜下血腫より外側、つまり硬膜と頭蓋骨の間に血液が溜まってしまう病態です。
強い頭部外傷により、頭蓋骨の板間静脈や硬膜内の血管(中硬膜動脈)が損傷する事で起き得ます。特に静脈洞という太い血管が損傷して起き得る際は、非常に危険な状態に陥る可能性があります。通常は頭蓋骨骨折を伴うため、頭蓋骨骨折の有無は診断にとって重要となります。また、急性硬膜下血腫とは異なり、溜まった血液は硬膜を介して脳実質を圧迫するため、意識清明期が数時間~数日間持続したのち、発症する事もありますので注意が必要です。
10~20歳代の若年者に多いとされています。生命予後は急性硬膜下血腫と比較すると比較的良いですが、診断がついた際は緊急開頭手術が必要となりますので、脳神経外科の専門医と緊急手術可能な施設への救急搬送を行います。
慢性硬膜下血腫

頭部を強くぶつけたり、転倒した際に病院で頭部検査異常なしと診断されても、2週間~3ヶ月程度時間が経過したのち頭蓋内に血が溜まることがあります。具体的には頭痛や体半分の麻痺(左右どちらかはわかりませんが、突然強い麻痺が出現する脳梗塞などとは違い、軽度の麻痺が徐々に進行することで発症)や意識障害などで発症します。
この疾患は若年者には発症しません。70歳以上の高齢者の方に多く発症します。40歳以降の中年期でも頭部外傷後、しばらく経過して強い頭痛を感じたりする際は慢性硬膜下血腫を発症していることもあります。頭部外傷後の頭痛や体が思うように動かせないなどの症状がある際は、必ず頭部検査を受けるようにしてください。
特に1歳未満の乳幼児~6歳以下の幼児
乳幼児の場合は、自覚症状を伝える事ができない場合が多いので、特に「普段と様子が違う。元気がなく、ぐったりとしている。」などの時は注意するようにしてください。また小さなお子さんは何ともなくとも1,2回嘔吐する子がいます。その後食事もできて、嘔吐もしなく元気であれば、さほど心配はないと思います。万が一、嘔吐後いつもと様子がおかしい、複数回繰り返し吐いてしまう時は救急車要請が必要になります。少なくとも受傷後12hは、慎重に観察してあげてください。
70歳以上の高齢者
頭部外傷後、3週間~3ヶ月間くらいして、まれに頭の中に血液がたまることがあります。(慢性硬膜下血腫)その期間に①頭痛 ②どちらかの半身の動かしづらさ(座位にて傾く 箸がうまく使えない 足を引きずる)③意識障害(上記に記載したような)④認知症の進行などの症状が徐々に現れ、悪化するようなら、医師の診察が必要です。ときに手術が必要となります。お電話にて当院にお問い合わせいただくか、直接ご来院ください。慢性硬膜下血腫は高齢者において頻度が高いですが、40歳以上の方でも発症する可能性がありますのでご注意ください。
労災や事故で受診される方へ
労災
業務中や通勤途中の事故による怪我は、労災として認定されます。その場合の受診では労災保険を受けることができます。すべての労働者(正社員のほかパート、アルバイトなども含む)がその対象です。
労災による受診の場合は、お勤め先からの労務災害認定と特定の書類が必要となります。受診前にお勤め先の労災担当者にお問い合わせください。なお、緊急の場合は医療機関受診後の報告となっても問題ありません。
事故
原則として交通事故による怪我の受診は、健康保険による給付の対象外となり、自動車保険(任意保険)、あるいは事故の加害者からのお支払いとなります。交通事故を起こした場合は加入されている保険会社へご連絡いただき、担当者の指示に従ってください。
※緊急の場合などは、医療機関を受診した後での報告でも問題ありません。
