- HOME>
- 硬膜度静脈瘻
硬膜度静脈瘻とは
硬膜度静脈瘻(Dural arteriovenous fistula:dAVF)は、硬膜という脳の表面にある厚い膜の中で動脈と静脈が瘻孔を形成する病気です。この疾患は後天的(生まれたのちに発症する)と言われています。
原因は脳静脈洞血栓症、血液凝固異常、外傷、ホルモンバランスの異常、静脈炎、静脈性高血圧、原因不明などが挙げられます。発病率は2000年ころまでは、0.15人/10万人/年程度と報告されていましたが、近年の画像診断技術の向上と高齢化社会の影響もあり2019年には1.04人/10万人/年と報告されており、明らかに発病率が上昇しています。
また、病気は頭蓋内(頭蓋骨の内側)のどこにできるかも重要な予後因子でありますが、好発部位の順位も逆転しています(海面静脈洞部>横静脈洞→海面静脈洞部<横静脈洞)。
今まで珍しい病気であり、知られていなかった病気の見つかるようになり、次々と新たな事実が分かってきている病気です。
硬膜度静脈瘻の症状
頭蓋内のできた場所や血液の流れる方向などにより、様々な症状を呈します。
耳の奥(横静脈洞部硬膜動静脈瘻)にできると、「ザーッザーッ」と心拍に一致した川の流れのような雑音を絶え間なく聞こえることがあります。また、眼の奥(海面静脈洞部硬膜動静脈瘻)にできると白目が充血し、患側の眼球自体が突出したりすることもあります。
いずれも症状が強い場合は、病気が進行している可能性もありますので、専門の脳神経外科の先生に診てもらいましょう。これらの症状を経て、頭蓋内出血や静脈うっ血による脳浮腫、けいれんを引き起こします。最も重篤化する症状に頭蓋内出血がありますが、その出血率は1.8%/年と報告されています。
診断
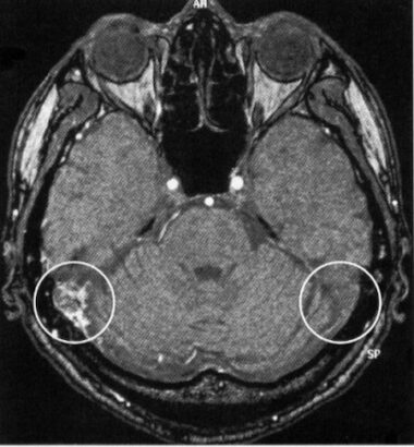
頭部MRIで発見し、脳血管造影検査で確定診断と重症度を判定します。
当然いきなり、入院して脳血管造影検査をする患者さんはいませんので、頭部MRIでの検査が重要になります。専門的な話ですが、Time of flightによるMRA検査を行い、MIP画像までしっかりと診ないと見過ごしてしまうことがあります。この病気の診断には専門性と経験が必要なため、脳神経外科専門医や放射線科専門医の読影が必須となります。
硬膜度静脈瘻の治療
まずは、診断の過程で治療対象か否かをしっかりと判断することが重要です。
治療が必要と判断された場合は、基本的には脳血管内治療による瘻孔部の塞栓術が基本になります。種類によっては外科的(開頭手術)に治療をすることもありますが、多くは脳神経外科医による脳血管内治療が主体となります。多くは、静脈側から瘻孔部にカテーテルで到達し液体塞栓物質やコイルを使用して、瘻孔部を閉鎖します。瘻孔部が閉鎖されれば動脈側から静脈側への異常な流れが消失しますので、頭蓋内出血の危険性などその他の症状が治まっていきます。
MRA検査
MRI検査の中のMRA(Magnetic Resonance Angiography:磁気共鳴血管撮影法)で、診断が可能です。しかし、診断は専門的な知識と経験が不可欠です。脳神経外科専門医によるMRI検査が必須と考えております。
