- HOME>
- 中枢神経炎症性疾患
中枢神経炎症性疾患とは
中枢神経に細胞浸潤・浮腫や、免疫・アレルギー性異常にもとづく髄鞘・軸索障害や血管障害を呈する疾患で、自己免疫性の機序が示唆されています。主な疾患として、多発性硬化症(Multiple Sclerosis:MS)、急性散在性脳脊髄炎(Acute Disseminated Encephalomyelitis:ADEM)が挙げられます。また、感染症による脳炎も日常診療で出会う鑑別すべき疾患です。
髄膜炎・髄膜脳炎・脳膿瘍
中枢神経系の感染症には、主にウイルスや細菌が原因となって起こり得るものがあります。
脳実質の障害はほとんど伴わない髄膜炎では、急性の発熱や頭痛、嘔吐、嘔気が主症状で、意識障害や脳局所症状はほとんど見られません。
発熱後に意識障害やけいれん、脳局所症状が存在する際は、髄膜脳炎を疑い、頭部MRI検査を行うべきです。頭部MRI検査を行うもう一つの理由としては、髄膜脳炎が悪化すると脳実質内に膿瘍という膿を形成し、脳腫瘍のように占拠性病変を形成することがあるためです。
脳膿瘍はCTでは診断がつきません。MRI検査でないと脳腫瘍との鑑別が困難なこともあり、確定診断を行う際は造影MRI検査が必要となることもあります。
髄膜脳炎や脳膿瘍に至ってしまった場合は、適切な入院治療を行わないと生命の危機に瀕したり、重篤な後遺症を残してしまうこともあります。
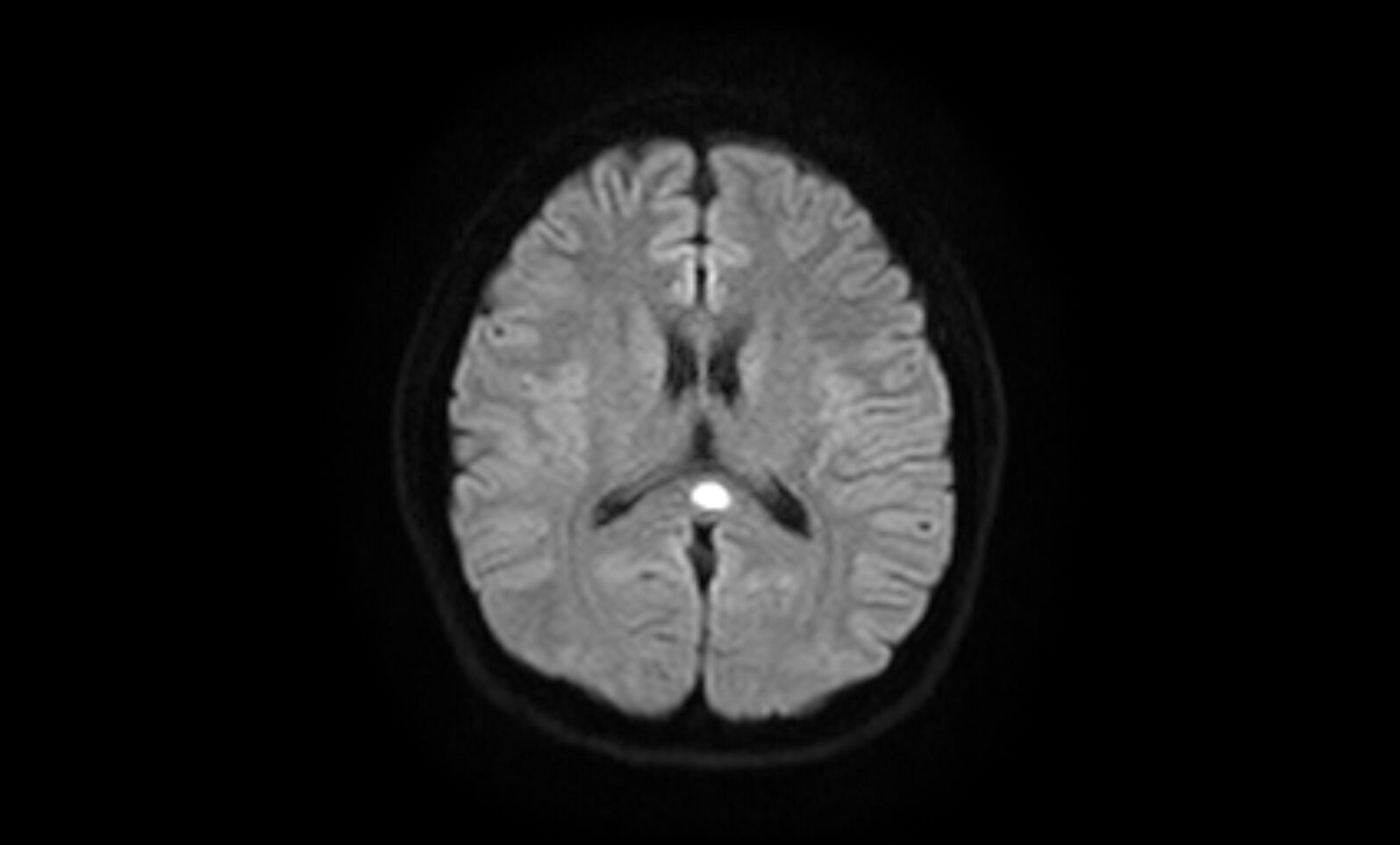
MERSについて

MERS(Mild Encephalitis Reversible Splenial lesion)といわれる、可逆的に脳梁膨大部に病変を見せる軽度脳炎症という疾患もあり、感冒後の頭痛で自覚症状に乏しいこともあります。MERSは基本的には後遺症はなく、予後は良好な疾患ですが、まれに痙攣や記憶低下などの症状を後遺することもあり、脳神経外科専門医における診断が必要となります。
風邪などの感冒症状の後に、頭痛や嘔吐、意識障害、運動麻痺や高次脳機能障害(今までできていたことができなくなった など)の症状がある方は、必ず脳神経外科にて頭部MRI検査を受けるようにしてください。
多発性硬化症(Multiple Sclerosis:MS)
脳・脊髄・視神経といった中枢神経系の白質部に中小の脱髄病変が多発し、その病変や症状が消失したり、増悪したりを繰り返す自己免疫性疾患です。
日本人における罹患率は、人口10万人あたり8~9人程度と言われています。家族性発生(遺伝的な要素)よりも、孤発性(誰でも発症する危険性がある)が多く、好発年齢は20~40歳とされています。この病気にはいろいろなタイプがあり、鑑別に困難を要します。特にtumefactive MSは病変が大きく、脳腫瘍などとの鑑別が重要です。MRI検査にてT2/FLAIR画像で高信号を呈します。この疾患の診断には頭部MRI検査が必須となります。
症状は典型的なものはなく、中枢神経のさまざまな部位に発生するため、症状も多様です。日本人においては、脊髄障害による運動麻痺や感覚障害、膀胱直腸障害、視神経障害による視力障害・視野異常などが多いとされていますが、症状はさまざまで、病巣部位によりどのような症状でも呈する可能性があります。
急性散在性脳脊髄炎(Acute Disseminated Encephalomyelitis:ADEM)
多様な中枢神経症状で発症し、MRI上で小さな脱髄巣が多数白質内に散在します。
前述した多発性硬化症にMRI所見は類似しますが、比較して病巣は小さく多発する傾向にあります。先行するウイルス感染症やワクチン接種に伴って起きることがありますが、治療は急性期にまず副腎皮質ステロイド薬が選択されます。
